La cámara corporal de un policía de Nueva Jersey captó el momento en que el elemento de seguridad salvaba a un hombre de ser atropellado Leer más
Minuto a Minuto
Internacional Alertan por fuerte tormenta que azotará California en Navidad
Autoridades emitieron órdenes de evacuación para las propiedades de California en mayor riesgo ante la fuerte tormenta que se avecina
Nacional Empresarios piden “blindar” frontera de México y Guatemala tras choques entre cárteles
Empresarios piden más control, más operativos y seguridad en la frontera con Guatemala, ante el choque entre cárteles a inicios de diciembre
Nacional Asesinan al expresidente municipal de Santa Cruz Xoxocotlán, Oaxaca
Erasmo Medina, expresidente municipal de Santa Cruz Xoxocotlán, Oaxaca, fue asesinado justo a las puertas de su domicilio
Nacional Cae presunto asesino de coordinador del IMSS Bienestar en Chilpancingo
La Fiscalía de Guerrero informó la detención de un hombre posiblemente relacionado con el asesinato del coordinador del IMSS Bienestar en Tlacotepec
Nacional Nochebuena con frío en CDMX: Alcaldías que tendrán Alerta Amarilla en la CDMX para el 24 de diciembre
Protección Civil de CDMX activó la Alertas Amarilla por frío para las primeras horas del miérciles 24 de diciembre de 2025
Últimas Noticias
Amistades cercanas a la cantante reportaron que estaban preocupados su bienestar, debido a que presentaba problemas desde hace unas semanas Leer más
La número uno del mundo en dicho deporte dio cuenta de la atleta guatemalteca Ana Gabriela Martínez este miércoles Leer más
Un juez de control determinó riesgo en que el beliceño pudiera escapar, dictándole prisión preventiva en el reclusorio sur Leer más
Gustavo de Hoyos afirmó que hay elementos suficientes para lograr una política salarial de largo plazo Leer más
La ministra de Asuntos Exteriores, Chrystia Freeland, arribó a México con una comitiva para tratar modernización del TLCAN Leer más
Los transportes, correos y almacenamiento se llevan el primer puesto, de acuerdo con la Encuesta Mensual de Servicios Leer más
Los precios van desde los 700 pesos hasta los 3 mil 600. Mientras tanto, el costo de los boletos que incluyen “Hospitality” es de 7 mil 500 pesos Leer más
La Semar aseguró que el Centro Coordinador Nacional de Búsqueda y Rescate ha permitido salvar más de 9 mil 806 vidas Leer más
La tarde del martes llegaron al estado elementos de la FEADLE para hacerse cargo de las investigaciones de los homicidios Leer más
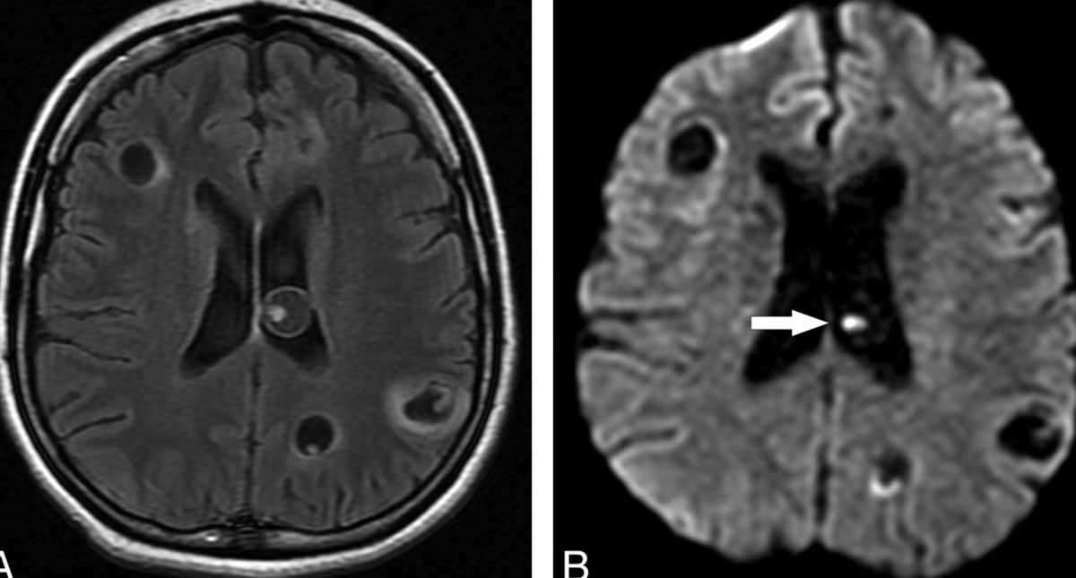
Una menor de ocho años fue sometida a un proceso quirúrgico para remover más de 100 larvas que tenía alojadas en el cerebro Leer más
Los uniformados encontraron cinco casquillos percutidos cerca del cuerpo de la mujer Leer más











