
La forma más segura de observarlo es a través de la televisión o internet, o con el uso de un filtro solar especial
El eclipse parcial de Sol que ocurrirá el próximo lunes en México no se puede ver con gafas oscuras, telescopios, binoculares, radiografías o películas veladas, ya que se corre el riesgo de daño ocular irreversible, advirtió la doctora María Guadalupe Colaf Calvere.
La especialista adscrita al Servicio de Oftalmología y Retinóloga del Hospital Juárez de México indicó que la forma más segura de observarlo es a través de la televisión o internet, o con el uso de un filtro solar especial llamado “lentes para eclipse”, que solo se pueden adquirir con un distribuidor acreditado de filtros y visores solares de la Sociedad Astronómica Americana.

Un filtro de soldador con graduación 14 también podrá usarse para no perderse este fenómeno natural, que se podrá apreciar mejor en los estados cercanos a la frontera norte como Baja California, Sonora, Chihuahua, Coahuila, Nuevo León y Tamaulipas, donde la luna cubrirá entre el 50 y 60 por ciento del Sol.

Colaf Calvere dijo que quienes deseen videograbar este fenómeno natural, deben usar filtros especiales para cámaras y celulares, y si no se cuenta con esos aditamentos, recomendó dejar el equipo grabando solo, porque el incremento de temperatura que se produce durante el eclipse alcanza los tejidos retinianos, aun cuando se observe a través de lentes de celulares o cámaras.
También hizo un llamado a los padres de familia a cuidar que sus hijos eviten ver directamente el eclipse, ya que les puede causar daño en la retina.
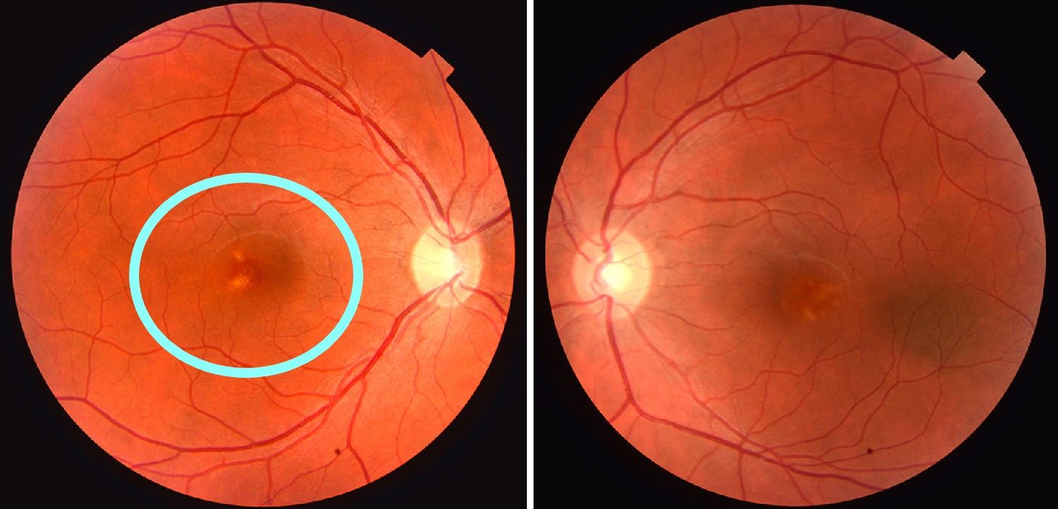
La doctora explicó que ver directamente este acontecimiento sin protección ocular adecuada ocasiona retinopatía solar, es decir, daño en la capa más sensible central de la retina, encargada de la visión fina.

Esto se debe, dijo, a que los altos niveles de temperatura producen un proceso inflamatorio que llevan a la formación de quistes, los cuales se rompen y forman un agujero macular, es decir, una lesión permanente caracterizada por una mancha en el ojo que tiene como consecuencia la pérdida de la vista.
Uno de cada tres pacientes que sufre este tipo de daño puede recuperar algo de visión, pero la mancha central no desaparece, expuso en un comunicado de la Secretaría de Salud.