
Una tomografía dada a conocer en el prestigioso British Medical Journal reveló la forma en que la cocaína daña al cerebro
Una tomografía reveló la forma en que la cocaína “devora” el cerebro de una persona, ocasionando severa disfunción en las personas y, en el peor de los casos, la muerte.
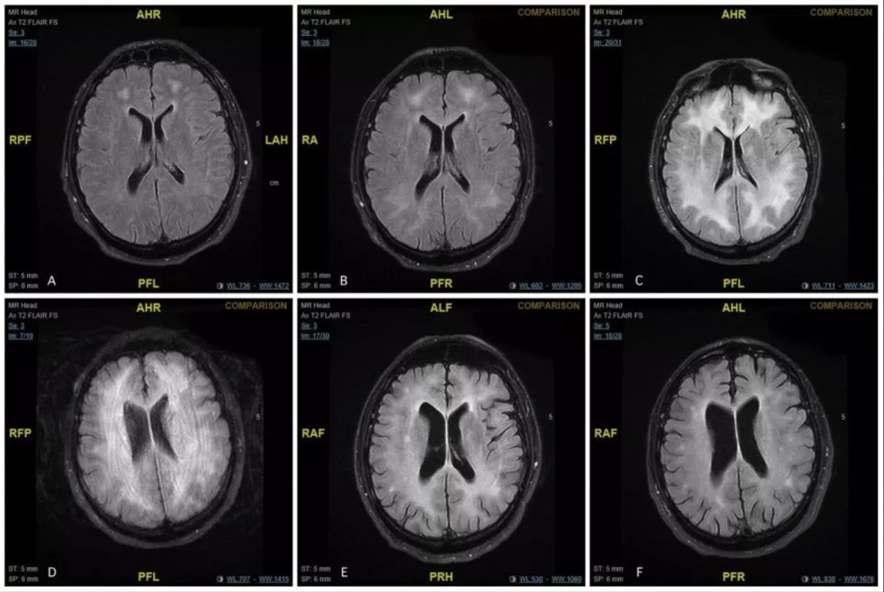
Esto fue revelado en el British Medical Journal, luego de que un hombre de 45 años que no fue identificado, un consumidor habitual de cocaína, se presentó con confusión y comportamiento inusual, por lo que fue llevado a un hospital en Msida, Malta.
Los médicos notaron que las pupilas del hombre en cuestión estaban dilatadas y “enérgicamente reactivas a la luz”, además de que “no cooperaba, no podía realizar tareas simples y no seguía las órdenes”.
Al realizarle una tomografía, los médicos se dieron cuenta de que padecía leucoencefalopatía tóxica inducida por cocaína.
“Mientras el sujeto permanecía inconsciente, se realizaban exploraciones regulares de su cerebro y mostraban que las células nerviosas de la sustancia blanca habían muerto. La materia blanca controla el aprendizaje, la resolución de problemas, la marcha, el equilibrio y el estado de ánimo”, apuntó el estudio médico.

La Dra. Ylenia Abdilla, quien trató al sujeto, detalló que la leucoencefalopatía tóxica “es un trastorno raro que puede causar una discapacidad significativa”.
El pronóstico es generalmente pobre y puede ser rápidamente fatal, sin embargo en algunos casos la recuperación puede ser total, tal como en este caso”.
El paciente en cuestión recibió tratamiento a base de esteroides, intercambio de plasma y anticuerpos. Tras ser trasladado a un centro de rehabilitación, el hombre mostró signos de mejoría a las dos semanas.
Un año después de su primera presentación, el paciente tuvo un examen neurológico normal.
Con información de López-Dóriga Digital y The Sun