
El estudio fue realizado por el doctor James Ware, del Imperial College London, quien realizó estudios a 141 pacientes con miocardiopatía alcohólica (MCA)
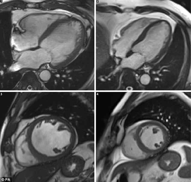
Un estudio reveló imágenes que muestran la diferencia entre un corazón sano y un corazón de un bebedor asiduo, las cuales detallan que las personas que consumen alcohol constantemente tienen dicho órgano más grande, lo cual afecta su capacidad de bombear sangre alrededor del cuerpo, debido a un gen defectuoso.
El estudio fue realizado por el doctor James Ware, del Imperial College London, quien realizó estudios a 141 pacientes con miocardiopatía alcohólica (MCA), en donde encontró que el 13.5 por ciento tienen una mutación en la gen titin, el cual mantiene la flexibilidad del músculo cardíaco.
Solo una de cada 100 personas sanas en el Reino Unido tiene esta misma mutación.

Además, la investigación reveló que ninguno de los pacientes que sufren ACM bebió cantidades suficientes de alcohol para causar la miocardiopatía por sí mismo.
“Nuestra investigación sugiere fuertemente que el alcohol y la genética interactúan, así como la predisposición genética y el consumo de alcohol pueden actuar juntos para provocar insuficiencia cardíaca”, detalló James Ware.
Los resultados sugieren además que tener el gen titin defectuoso también aumenta el riesgo de miocardiopatía dilatada (DCM) de las personas, incluso si no beben en exceso.
El DCM ocurre cuando los tejidos del corazón se estiran y adelgazan, afectando la capacidad del órgano para bombear sangre.
“Por el momento se supone que esta condición se debe simplemente a demasiado alcohol”, informó Ware.
“Pero esta investigación sugiere que estos pacientes también deberían ser evaluados por una causa genética, al preguntar por los antecedentes familiares y considerar la realización de pruebas para detectar un gen de titina defectuoso, así como otros genes relacionados con la insuficiencia cardíaca”, aseguró el encargado de la investigación.
Añadió que los parientes de los pacientes con ACM deberían someterse a exámenes cardíacos y pruebas genéticas para determinar si portan el gen defectuoso.
Con información de Daily Mail