
Muchas personas comienzan a sufrir acné debido a los suplementos que utilizan para ejercitarse
Con las ganas de obtener más masa muscular, un cuerpo más tonificado y lucir un cuerpo de modelo de revista, puedes causar daños en tu piel. Si estás batallando con el acné, probablemente se deba a una vitamina o a algún anabólico esteroide que te recomendaron en el gym. Veamos hoy las vitaminas:
De acuerdo con un nuevo estudio, tener un exceso de vitamina B12 en nuestro organismo podría alterar a las bacterias que viven en nuestra piel, ocasionando así un brote de acné.
Para realizarlo, los investigadores obtuvieron muestras bacterianas de personas con acné y de sujetos control sin acné.
Posteriormente, realizaron pruebas genéticas en un tipo específico de bacteria que se sabe activa el acné para determinar cómo regula la vitamina B12, encontrando diferencias marcadas entre ambos grupos.
Después, los sujetos control recibieron suplementos alimenticios de vitamina B12. Pasados unos días, el perfil de su piel cambió de forma, pareciéndose bastante al de los pacientes con acné; y uno de los pacientes control que tomó las vitaminas, generó un brote de acné en tan solo una semana.
Los investigadores dicen que estos hallazgos sugieren que cuando se disparan los niveles de vitamina B12, podría cambiar la actividad de las bacterias relacionadas al acné, impulsándolas a secretar un compuesto inflamatorio que conduce a los brotes.
La vitamina B12 es un nutriente esencial que se encuentra en varios alimentos como la carne y los lácteos, y es un ingrediente común en los suplementos vitamínicos. Los autores del estudio señalan que la gente que es propensa al acné podría verse beneficiada al reducir el consumo de suplementos innecesarios.

El acné es una enfermedad que aparece por cambios hormonales, herencia o por la bacteria propionibacterium acnes. Todos los casos se pueden agravar por malos hábitos de higiene, aplicación de remedios caseros, estrés, mala alimentación y por algunos medicamentos.
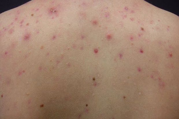
Muchas veces las personas que se ejercitan presentan una reacción de brotes de acné en el cuerpo; pueden aparecer en rostro, pecho y espalda. ¿A qué se debe esta manifestación en la piel? Algunos de los suplementos y vitaminas que se ingieren para el ejercicio podrían ser la causa, de manera que aunque se haya tenido anteriormente un tratamiento con resultados positivos o si no se ha padecido acné antes, ahora se manifieste.
“Constantemente acuden a consulta dermatológica pacientes deportistas con buena condición y formación muscular, pero con problemas de acné. Es común debido a que desconocen que los sumplementos, vitaminas y/o inyecciones que se ocupan para incrementar masa muscular disparan brotes.” comenta la Dra. Eliana Gómez Bernal, dermatóloga.

La vitamina B es esencial para deportistas, ayuda al correcto metabolismo de los nutrientes, convierte a los carbohidratos en glucosa y a su vez, en energía. La vitamina B6 estimula el anabolismo, o sea la síntesis de proteínas. Sin embargo, de acuerdo al especialista Rodrigo Gutiérrez Bravo, dermatólogo “La vitamina B6 (riboflavina) y B12 (cianocobalamina) están relacionadas con el inicio de acné o aumento en la cantidad y severidad de las lesiones, por lo tanto se aconseja evitar los suplementos que las contengan y obtenerlas por medio de una alimentación balanceada o diseñada para deportistas por un especialista en nutrición deportiva.” También los esteroides provocan mucho acné por los componentes que contienen, pero la buena noticia es que son padecimientos tratables.
¿Qué pasa si no estás tomando esas vitaminas y aún así aparecen granitos o lesiones de acné? Al usar crema o bloqueadores indicados para otro tipo de piel, se puede estar causando la oclusión folicular dando así pie a la aparición de brotes. Para saber qué tipo de productos debes utilizar para humectar y proteger tu piel, lo recomendable es consultar a un dermatólogo certificado y conocer tu tipo de piel. Esto te ahorrará muchos dolores de cabeza.

Otros hábitos que provocan acné son la falta de higiene a la hora de ejercitarse, si se utiliza una toalla o ropa sucia, al terminar tu cardio te vas directo a entrenar fuerza sin cambiarte por lo menos la playera o si se omite la ducha después de la rutina de ejercicios, los poros pueden comenzar a obstruirse y la sal del sudor puede causar irritación, infecciones o foliculitis.
La foliculitis es una infección del folículo piloso y se puede dar un tratamiento con antibióticos tópicos o tomados. Para el acné se utilizan tetraciclinas, antibióticos naturales para desinflamar las lesiones y se trata dependiendo de la severidad de cada caso con isotretinoína, un fármaco usado mayoritariamente para disminuir la producción de sebo. Con este compuesto derivado de la vitamina A se atienden muchos tipos de acné con resultados óptimos.
Tener cuidado con las vitaminas que contienen los suplementos y mantener una buena rutina de higiene puede ayudar a que no presentemos este tipo de enfermedades en la piel. En cuanto se presenten, lo mejor es acudir a un especialista que identifique de dónde viene el padecimiento para poder cambiar nuestros hábitos y así ejercitarnos sin problemas, que además de tratarse de infecciones que afectan la piel, no son nada estéticas, dejan marcas y nos pueden hacer sentir incómodos e inseguros.
Si lo que desean es lucir un cuerpo estético, tonificado y saludable, evita que sea cubierto de acne o granos.
Si deseas consultar a un especialista, acude a visitar al Dr. Rodrigo Gutiérrez Bravo Dermatólogo, Dermato-oncólogo, Cirujano Dermatólogo síguelo en twitter @pielclinic y a quien agradezco su apoyo para la realización de este artículo.
Nos leemos la próxima semana.