
Presentamos las causas que originan el deterioro del color de los dientes, así como las soluciones que se pueden tomar para evitarlo
Cada vez resulta más importante tener una higiene bucal óptima, no solo como una cuestión propia de salud, sino estética, y también psicológica.
Así, cada vez las personas se preocupan más por tener los dientes blancos , y recurren a diversos medios para poder mantener así sus dientes.
No obstante, hay diversas causas genéticas, diversas comidas y bebidas que provocan el deterioro el color.

¿Qué causa el deterioro del color?
Habría que empezar por quitar mitos: no todas las personas tienen los dientes blancos de forma natural; no siempre el tono amarillo en los dientes se deriva del consumo de tabaco o café, y siempre hay soluciones para poder arreglar el color de los dientes.
Existen causas de nacimiento, causas relacionadas con el consumo de alimentos, el uso de medicamentos y tratamientos, así como el paso del tiempo lo que provoca el cambio de los tonos de los dientes.

Los genes influyen
“El color de los dientes depende de cada persona”, explicó al medio BBC el médico Óscar Castro Reino, presidente del Consejo General de Colegios de Dentistas de España.

“Hay un condicionante genético importante que define la coloración de nuestros dientes desde que nacemos”, agrega el experto.
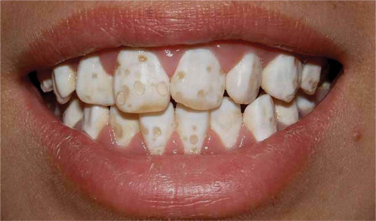
Además, existen enfermedades congénitas que pueden modificar el blanco de los dientes, “como la dentinogénesis o la amelogénesis imperfecta que provocan defectos en el esmalte o en la dentina, haciendo que estos adquieran un color amarillento o incluso marrón”.
En tanto, señaló que es un proceso este que se hereda de padres a hijos. “Las alteraciones endocrinas de hormonas tiroideas también influyen en el color de los dientes y pueden provocar manchas y alterar su color”.

Tus dientes, resultado de lo que comes y bebes
Los pigmentos existentes en algunos alimentos y bebidas pueden filtrarse entre los canalículos dentarios (poros de nuestros dientes). El café negro o el refresco son los alimentos más conocidos que pueden filtrarse, pero, además de ello, hay diversos alimentos que debilitan el esmalte.

Según el mismo experto, el té verde también contiene pigmentación que puede amarillear tus dientes, además de otras bebidas como el vino tinto. Lo mismo sucede con los alimentos que contienen carotenos (un pigmento natural antioxidante), como las zanahorias, el tomate o las espinacas.
El agua también puede cambiar el tono de los dientes en algunos lugares, ya que puede contener “cantidades tremendas de flúor, que causan un exceso de esta sustancia conocido como fluorosis, la cual provoca manchas en los dientes”, explica Castro.

Tratamientos médicos también causan cambios en el color
“Algunos tipos de antibióticos, como la tetracilina, pueden provocar una alteración durante la formación del diente, haciendo que este nazca con un color pardo estriado”, explica Castro.
Además, indicó que otros productos que hacen que los dientes se vuelvan amarillentos son, de acuerdo con el especialista, los enjuages bucales. También el uso de amalgamas de plata contienen unos pigmentos que, tal y como advierte Castro, acaban siendo asimilados por el diente y transformando su color.

Además, en las endodoncias puede suceder lo mismo: de llegarse a matar el nervio del diente, este se oscurece. Cuando hay un traumatismo, la sangre se coagula, tiñendo el diente desde dentro hacia fuera. Por eso, señaló, hay nuevas soluciones, como el uso de resinas compuestas.
Valorar tus dientes

Uno de los factores más importantes pero que menos atención reciben es pensar en los dientes con el paso de los años. La gente envejece, y termina analizando que no le prestó la debida atención a sus dientes.
“Es normal que con la edad los dientes amarilleen, pues desde que nacemos hasta que morimos los sometemos a una serie de condicionantes que provocan cambios en ellos”, asegura el doctor Castro. Pero, añadió, es fundamental para preservar los dientes blancos el saber cómo cuidamos nuestra dentadura, y, sobre todo, cómo la limpiamos.
“La higiene dental influye muchísimo”, explica el médico.
Cómo evitar los dientes amarillos
No está en tela de juicio la imposibilidad de frenar el paso del tiempo. Lo que sí se puede advertir es que se puede poner un mayor cuidado en la limpieza de los dientes, y procurar un cambio en el estilo de vida evitando el consumo excesivo de ciertos alimentos, bebidas, y tabacos.
No obstante, si se buscan soluciones, lo mejor, siempre, será acudir a profesionales.
“Muchos tratamientos caseros de blanqueamiento no tienen capacidad terapéutica, como algunos que se anuncian en televisión y que prometen un blanqueamiento de hasta ocho tonos, lo cual es imposible”, explica Castro. “Es publicidad engañosa”.
“Lo ideal es acudir al dentista y ver qué se puede hacer para blanquearlos y, sobre todo, descartar alguna patología previa”, agrega.
Además, se pronunció fuertemente contra el uso de remedios caseros, los cuales, señaló, podrían ser contraproducentes. Por ejemplo, ante el remedio de usar bicarbonato de sodio con limón, Castro señaló que el limón “es un ácido que erosiona y cuyo efecto sería el mismo que frotar el diente con papel de lija”.
¿Las pastas de dientes blanqueadoras?
De acuerdo con Castro, los productos para el blanqueamiento de los dientes “juegan con el truco de los colores”. Explica que el color contrario al amarillo (el tono de los dientes a erradicar) es el violeta, por lo que las partículas violetas de los dentríficos impregnan el diente y provocan la sensación de falso blanqueado.
Además, el experto señaló que existe, de manera globalizada, un nuevo fenómeno: la “blancorexia”, o la obsesión por los dientes blancos.
“Siempre se quiere más y los pacientes piden tonos de blanco que no existen en la naturaleza, como el blanco sanitario”, dice Castro. “Hay un cambio en la percepción de lo que es natural y lo que es artificial”.
Con información de BBC