
Con motivo de la conmemoración del Día del Odontólogo, a celebrarse el próximo 9 de febrero, la Secretaría de Salud Jalisco (SSJ) emitió un decálogo para tener un adecuado aseo bucal. De esta forma, recomendó alimentarse bien con productos naturales; cepillar dientes después de cada comida; utilizar el hilo dental después del cepillado; visitar al … Continued
Con motivo de la conmemoración del Día del Odontólogo, a celebrarse el próximo 9 de febrero, la Secretaría de Salud Jalisco (SSJ) emitió un decálogo para tener un adecuado aseo bucal.
De esta forma, recomendó alimentarse bien con productos naturales; cepillar dientes después de cada comida; utilizar el hilo dental después del cepillado; visitar al dentista cada seis meses; consumir con moderación dulces y refrescos, al terminar cepíllar los dientes.
Asimimso, evita hábitos nocivos como: morder lápices o destapar refrescos con los dientes; evita el uso de chupones, succionar el dedo, chupar los labios; evita el uso del biberón; protege tus dientes con fluoruro (infórmate con tu dentista).
Identifica la placa dentobacteriana utilizando la pastilla reveladora, en su defecto, jugo de betabel o agua de jamaica concentrada.
También auto-explora tu cavidad bucal, por lo menos una vez al mes siguiendo los siguientes pasos: Colócate frente a un espejo, lava tus manos con agua y jabón; y observa, palpa y mueve las estructuras bucales como lo son labios y comisuras bucales.
Tras las recomendaciones, la SSJ exhorta a las personas que si encuentran alguna alteración que consideren anormal o que su aparición sea reciente y tenga una duración de más de tres semanas, se debe acudir al dentista para su diagnóstico.
La dependencia dio a conocer que cada odontólogo debe garantizar la enseñanza del esquema básico de prevención en salud bucal, a por lo menos 432 niños.
Refirió que actualmente la SSJ cuenta con 367 odontólogos de base y contrato y 130 prestadores de servicio social en odontología en todas sus unidades de salud.
“En la SSJ evaluamos cada día a nuestros odontólogos, su desempeño y el trabajo que realizan, precisamente para lograr las metas del Programa de Acción Específico del 2013-2018”, informó el coordinador estatal del Programa de Salud Bucal, Rafael Eduardo Navarro Medina.
Asimismo, señaló que el odontólogo dedica el 85 por ciento de su tiempo contratado para atención intramuros y el 15 por ciento para atención preventiva extramuros, visitando planteles escolares y preescolares para crear una conciencia en los niños sobre la importancia de la salud bucal.
Recordó que Jalisco al tercer trimestre del 2015, se encontraba en el sexto lugar nacional en la evaluación de los indicadores Caminando a la Excelencia.
Dentro de las labores del profesional de la salud, se encuentra la enseñanza de la técnica correcta del cepillado, uso de hilo dental, sesiones de salud bucal, así como sus posibles complicaciones.
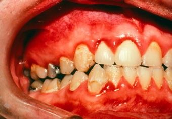
Los principales problemas que se presentan por falta de aseo bucal son las caries, seguidas por las enfermedades periodontales como la gingivitis y de no atenderse de forma adecuada avanza hasta llegar a una periodontitis o periodontósis causando la pérdida de tejidos y por lo tanto de piezas dentales.
Redacción



