
Usar los jeans tan ajustados provocó que la mujer presentara severos daños en nervios y músculos de las piernas.
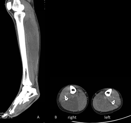
En Australia, una mujer fue hospitalizada luego de que el uso de pantalones ajustados, o los conocidos jeans tipo “skinny”, le causaran serios daños a los nervios y músculos de las piernas, impidiéndole caminar por varios días.
De acuerdo a la declaración de la mujer, de 35 y quien permanece en el anonimato, ayudaba a un conocido a mudarse, por lo que pasó varios días acomodando cosas en cuclillas y usando pantalones muy ajustados.

Conforme las horas pasaban, la mujer notó que sus pantalones se sentían más ajustados y cuando salió del lugar y caminaba por la calle sus piernas estaban entumecidas, por lo que cayó varias veces al suelo y pasó varias horas sin moverse esperando los servicios de emergencia.
Al ser trasladada al Hospital Royal Adelaide, el doctor Thonas Kimber atendió el caso, y aseguró que nunca había visto este tipo de daño en los nervios y músculos de las pantorrillas por usar este tipo de prendas.

Por tal motivo desde el lunes pasado el doctor Kimber publicó junto a un grupo de especialistas, en la revitsta Jornal of Neurology, los efectos negativos de usar pantalones demasiado ajustados, entre los que destacan lesiones en ingles, testículos y hasta la lesión de nervios en la parte baja de la pierna, así como daños en los músculos.

El doctor Kimber explicó que al realizar sentadillas o estar de cuclillas por mucho tiempo, el suministro de sangre no viaja de forma adecuada a las pantorrillas, por lo que estas se entumecen, y de forma prolongada provoca daños en los nervios, como en el caso de australiana, quien además empeoró la situación al usar pantalones ajustados.
Tras cuatro días de hospitalización la paciente ha recuperado la movilidad en las piernas, así como ya puede caminar, sin embargo aún debe mejorar su estado.